Skip to content
ISMMS Nephrology Fellowship
Menu
+
×
expanded
collapsed
Welcome
Suggestion “Box”
Kidney Transplant
Amion
Articles
Career Center
Study Tools
Meetings
Previous Image
Next Image
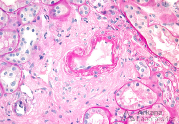
Arteriolar Hyalinosis on PAS
Post navigation
Published in
Arteriolar Hyalinosis on PAS
Leave a comment
Cancel reply
Δ
Comment
ISMMS Nephrology Fellowship
Sign up
Log in
Copy shortlink
Report this content
Manage subscriptions