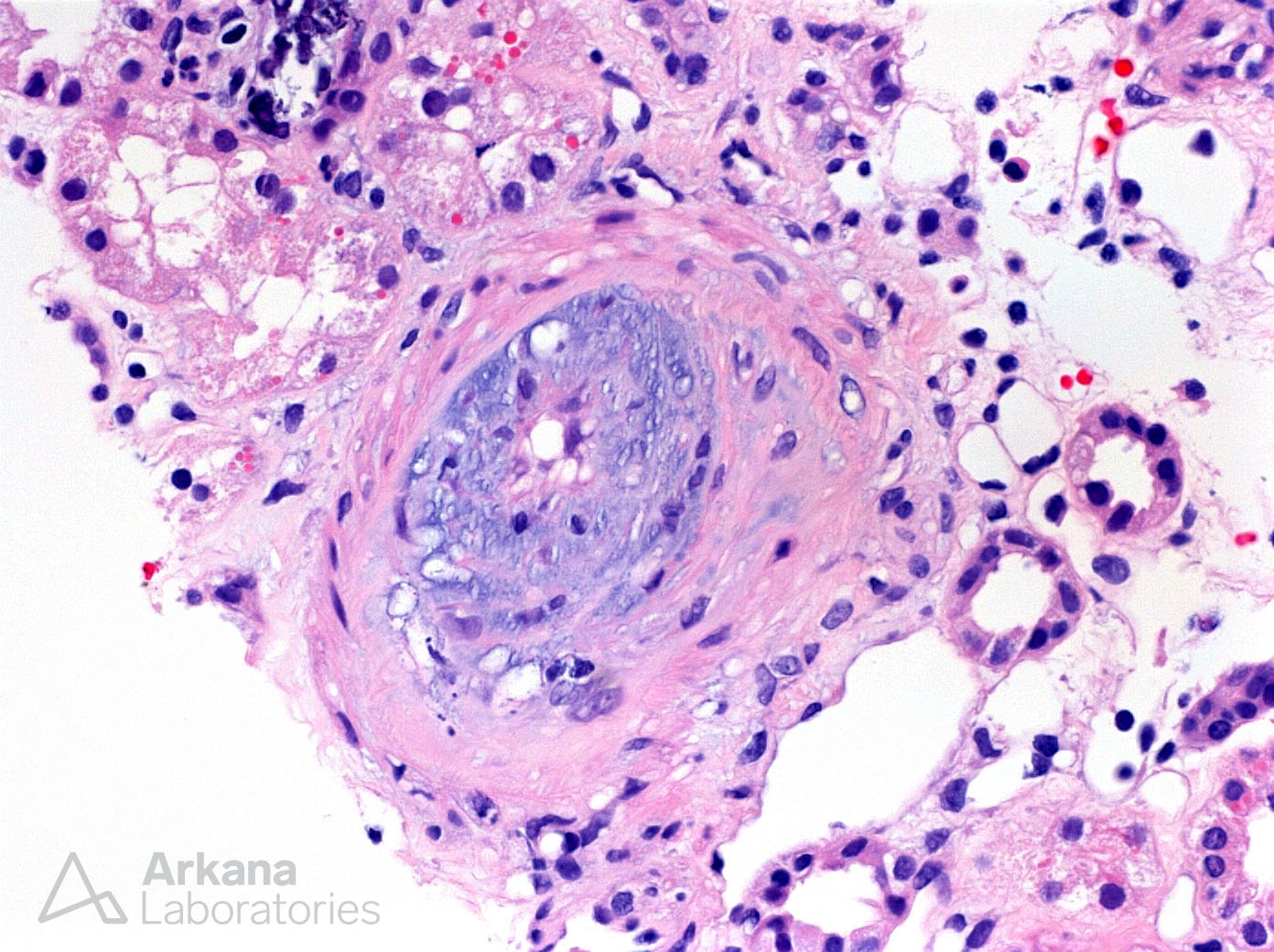
Previous Image Next Image Artery with Mucoid Intimal Edema in Scleroderma Renal Crisis Like Loading...