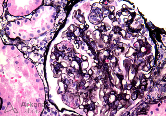
Previous Image Next Image Endocapillary Proliferation in Lupus Nephritis on Jones Silver Like Loading...