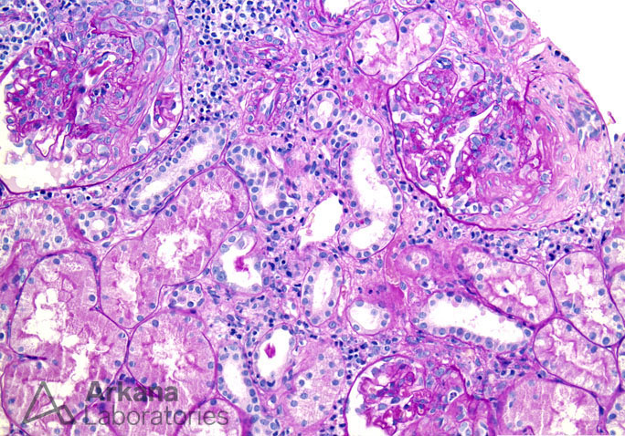
Previous Image Next Image Fibrocellular Crescent Formation and Interstitial Inflammation in Lupus Nephritis on PAS Like Loading...