Skip to content
ISMMS Nephrology Fellowship
Menu
+
×
expanded
collapsed
Welcome
Suggestion “Box”
Kidney Transplant
Amion
Articles
Career Center
Study Tools
Meetings
Previous Image
Next Image
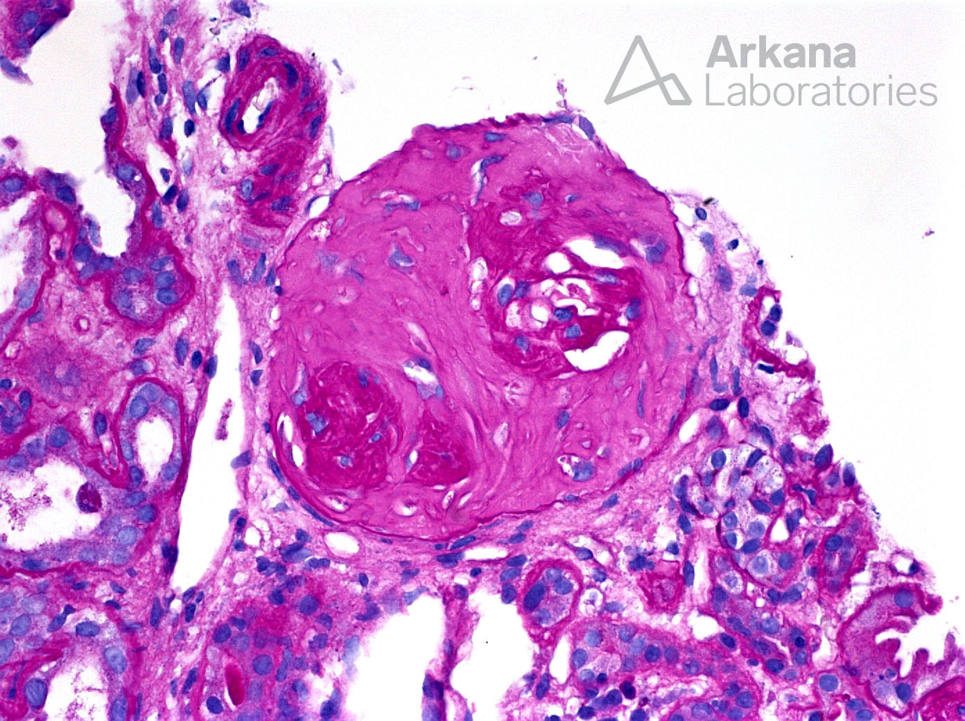
Fibrous Crescent
Like
Loading...
Post navigation
Published in
Images
Leave a comment
Cancel reply
Δ
ISMMS Nephrology Fellowship
Sign up
Log in
Copy shortlink
Report this content
Manage subscriptions
%d