Skip to content
ISMMS Nephrology Fellowship
Menu
+
×
expanded
collapsed
Welcome
Suggestion “Box”
Kidney Transplant
Amion
Articles
Career Center
Study Tools
Meetings
Previous Image
Next Image
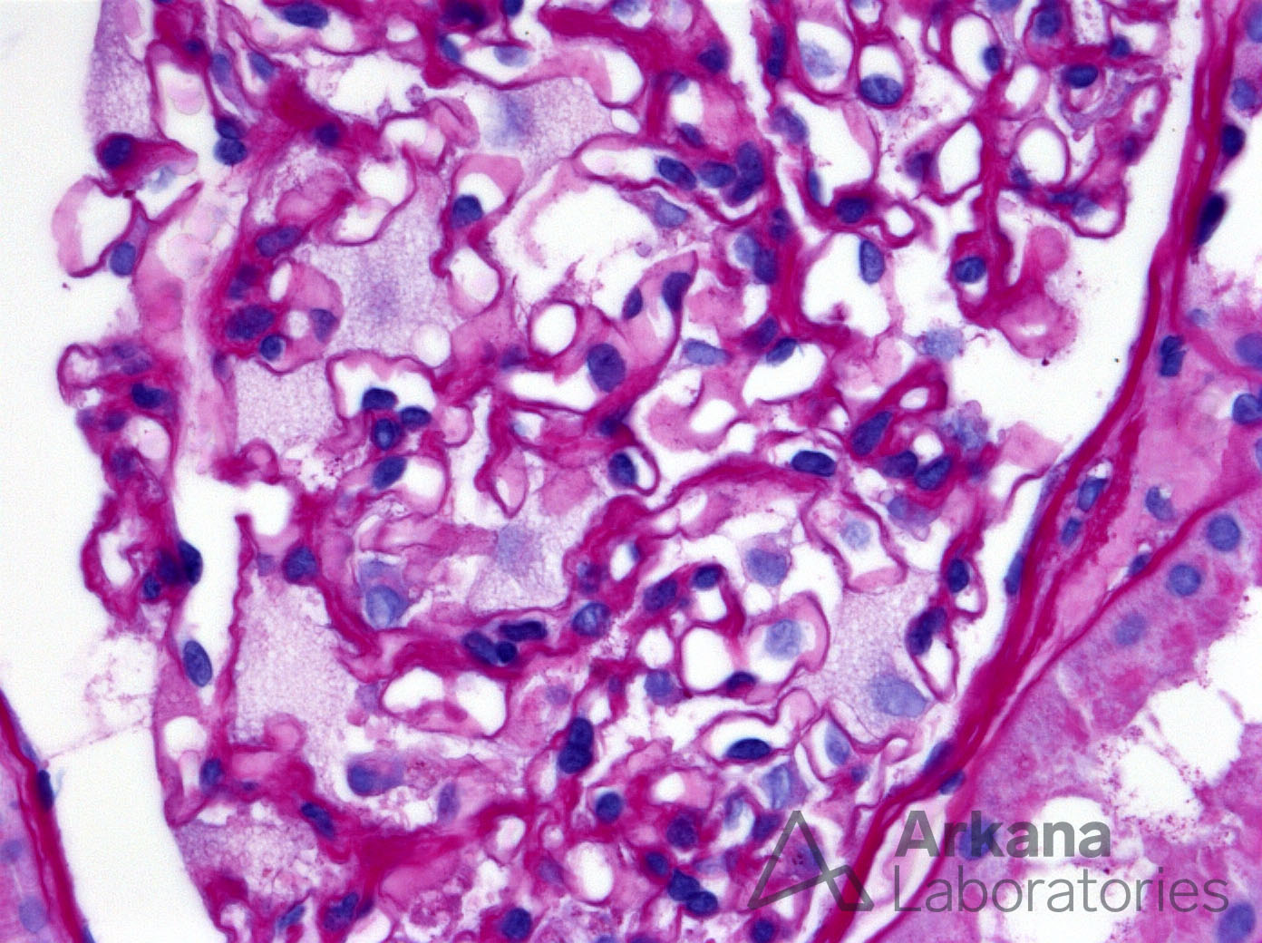
Foamy Podocytes in Fabry Disease
Like
Loading...
Post navigation
Published in
Images
Leave a comment
Cancel reply
Δ
ISMMS Nephrology Fellowship
Sign up
Log in
Copy shortlink
Report this content
Manage subscriptions
%d