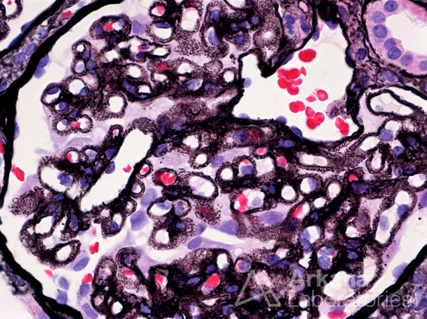
Previous Image Next Image Spike Formation on Silver Stain in Membranous Glomerulopathy Like Loading...