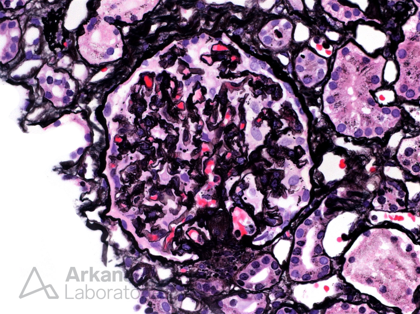
Previous Image Next Image Glomerular Basement Membrane Corrugation (An Ischemic Change) in Scleroderma Renal Crisis Like Loading...