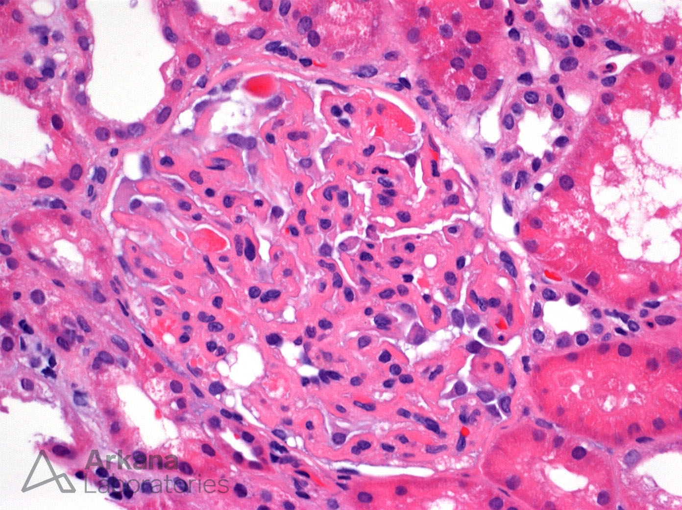
Previous Image Next Image Glomerular Fibrin Thrombi in a Patient with Preeclampsia on H&E Like Loading...