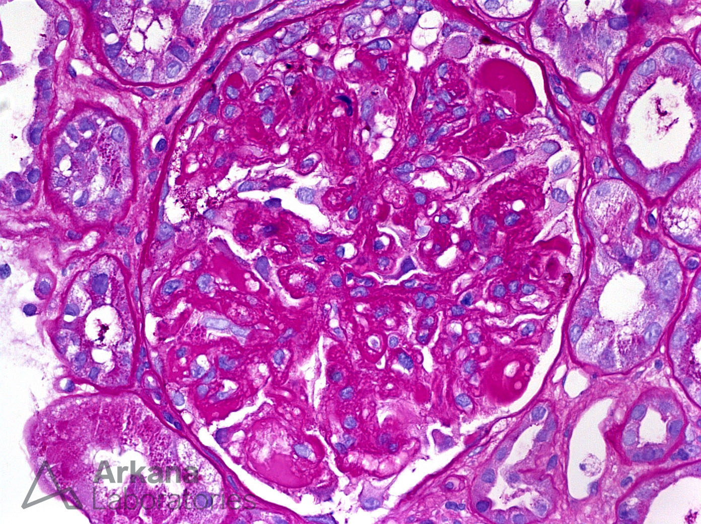
Previous Image Next Image Mesangiolysis, Double Contours and Extensive Hyaline-Like Deposits in VEGFa-Inhitor Associated TMA on PAS Like Loading...