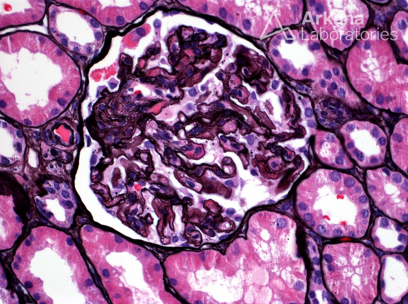
Previous Image Next Image Mesangiolysis, Double Contours and GBM Corrugation in a Patient with Preeclampsia on Jones Silver Like Loading...